脊椎整復床,呵護您的脊椎健康!
在這個快節奏的時代,我們的脊椎承受著前所未有的壓力。長時間的坐姿、不良的生活習慣,都讓我們的脊椎不堪重負。脊椎整復床,作為您脊椎健康的守護者,以其先進的設計理念和高品質,為您的脊椎提供全方位的呵護。
一、 脊椎整復床的外觀:

二、 脊椎整復床核心理念:美式脊椎矯正的核心理念是通過調整脊椎和關節的位置和功能,改善神經系統的健康和功能。
三、 功能介紹:正確的脊椎位置能夠改善神經系統的功能,增強免疫力,幫助身體更好地抵抗疾病。
1.減輕神經壓迫
脊椎錯位或椎間盤突出可能會壓迫神經根,引起疼痛、麻木和功能障礙。通過矯正脊椎,可以減輕或消除這種壓迫。
2.改善神經傳導
脊椎錯位會影響神經傳導的效率和準確性,矯正可以恢復神經信號的正常傳遞,提高反應速度和協調性。
3.促進血液循環
脊椎矯正有助于改善局部血液循環,促進營養物質和氧氣的輸送,同時排出代謝廢物,幫助神經系統的恢復和健康。
4.增強免疫功能
神經系統與免疫系統密切相關,通過改善神經功能,可以增強機體的免疫力,提高抵抗力。
5.減輕疼痛和不適
矯正脊椎和關節可以緩解因神經受壓而引起的疼痛和不適,恢復患者的生活質量。
四、 恢復脊椎自然曲度
脊椎整復床的獨特設計能夠幫助恢復脊椎的自然曲度,改善脊椎側彎和不良姿勢,讓您重獲健康體態。
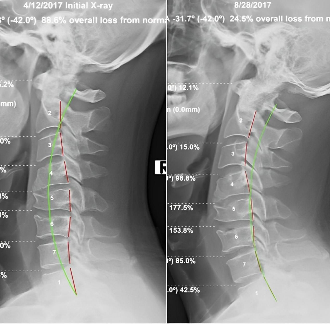
五、矯正完和矯正后的對比案例:






選擇脊椎整復床,擁有健康美椎!我們期待為您的脊椎健康保駕護航。
六、聯系我們
· 電話:咨詢熱線 18600997820
· 地址:北京市豐臺區漢威國際廣場4區7號樓9層
